You are using an outdated browser. Please upgrade your browser to improve your experience.

O Instituto de Neurologia de Curitiba (Hospital INC) é um dos principais centros de tratamento dos neurinomas do acústico (schwannomas vestibulares) na América Latina. Recebe pacientes com esses tumores de todos os estados do Brasil e países da América Latina. Possui tecnologia de última geração, comparável somente com grandes centros da Europa e Estados Unidos.
O chefe do serviço é o Prof. Dr. Ricardo Ramina que fez sua formação de especialista na cidade de Hannover, Alemanha, em um hospital que é a maior referência mundial no tratamento destes tumores. Prof. Ramina é considerado atualmente um dos maiores nomes da cirurgia da base do crânio tendo introduzido, em 1986, na América Latina a monitoração intraoperatória para pacientes com neurinomas do acústico.
A equipe do INC responsável pelo tratamento dos neurinomas do acústico é formada pelos Neurocirurgiões Prof. Dr. Ricardo Ramina, Dr. Maurício Coelho Neto, Dr. Gustavo Jung e Dr. Daniel B Almeida, pelos Otorrinolaringologistas Dr. Gustavo Nogueira e Dra. Patricia Sens, pela Fisioterapeuta Vanessa e pela Fonoaudióloga Simone.
O INC realiza tratamentos de radiocirurgia com o aparelho mais avançado existente, o Gamma Knife.

NEURINOMA DO ACÚSTICO (SCHWANNOMA VESTIBULAR)
Neurinoma do acústico, também conhecido como schwannoma vestibular é um tumor de crescimento lento, benigno na quase totalidade dos casos. Se origina de um dos nervos vestibulares (nervos do labirinto) dentro do canal auditivo interno. Este canal tem aproximadamente 1,0 cm de comprimento e 0,5 cm de espessura. Quatro nervos com a espessura de poucos milímetros estão localizados dentro deste canal: dois nervos do labirinto, o nervo da audição (coclear) e o nervo facial com seu ramo motor.
Esses tumores não causam metástases para outras partes do corpo, mas estão localizados adjacentes a centros vitais do tronco cerebral. Apesar de benignos, com o crescimento, esses tumores podem afetar estruturas importantes causando perda auditiva, alteração da sensibilidade da face, paralisia facial, dificuldades para engolir alimentos sólidos e líquidos, perda do equilíbrio e quando muito volumosos comprimem o tronco cerebral causando aumento da pressão dentro do crânio (hidrocefalia), dor de cabeça, vômitos e podem inclusive causar a morte se não forem tratados.
Em pacientes mais jovens o crescimento do tumor pode ser mais rápido. A boa notícia é que quase todos esses tumores são benignos e na grande maioria dos casos é possível curar os pacientes.
DIAGNÓSTICO
Quando o paciente apresenta sintomas de diminuição da audição ou zumbidos em um dos ouvidos é necessário que seja submetido a um exame de imagem para excluir a presença de um tumor. O melhor exame para o diagnóstico é a ressonância magnética. Este exame pode detectar tumores com poucos milímetros.
Exames de audição e do labirinto devem ser realizados pelo otorrinolaringologista antes da cirurgia.
Esses tumores são classificados, de acordo com o seu tamanho, em vários grupos
Confira na tabela abaixo:
Classificação dos Tumores
|
Tipo |
Tamanho do tumor |
|
T1 - |
Tumor pequeno dentro do canal auditivo interno |
|
T2 - |
Tumor pequeno saindo do canal auditivo interno |
|
T3 - |
Tumor médio alcançando o tronco cerebral |
|
T4A - |
Tumor grande comprimindo o tronco cerebral |
|
T4B - |
Tumor muito grande comprimindo o tronco cerebral (hidrocefalia) |
|
Gigantes - |
Tumores gigantes comprimindo estruturas vitais |
TRATAMENTO
O tamanho do tumor é muito importante na decisão e no resultado do tratamento. O objetivo do tratamento de pacientes com tumores benignos cerebrais é a cura definitiva com preservação das funções neurológicas.
Nos casos dos Neurinomas do Acústico (Schwannomas Vestibulares) além da cura da doença, queremos preservar o nervo facial e a audição (se ainda existir).
Em tumores grandes o principal objetivo é remover o tumor para preservar a vida do paciente.
Quando o paciente tem o diagnóstico de um Neurinoma do Acústico (Schwannoma Vestibular) existem três opções para o tratamento:
1. Observação clínica – Em tumores pequenos (localizados dentro do canal auditivo interno), principalmente em pacientes idosos, o simples acompanhamento clínico com exames de audiometria e de ressonância magnética pode ser uma opção. Se o tumor crescer ou a audição diminuir deve-se optar por tratar o tumor. Tumores grandes devem receber tratamento na maioria dos casos.
2. Radiocirurgia – É uma opção de tratamento aceita atualmente. Este tratamento é realizado através da radioterapia em uma única sessão e não necessita de internamento e é indicada para tumores com um diâmetro menor do que 3 cm.
O melhor aparelho de radiocirurgia existente é a Gamma Knife (aparelho disponível no INC). Outros aparelhos como a Cyber-knife e aparelhos de radioterapia convencional adaptados para a radiocirurgia também são utilizados. O objetivo da radiocirurgia é estabilizar o crescimento ou mesmo em alguns casos reduzir o tamanho do tumor.
Com o passar dos anos, no entanto, alguns pacientes mostram um crescimento do tumor e podem necessitar um novo tratamento. A radiocirurgia, no entanto, não oferece a cura para nenhum paciente. Complicações relacionadas a radiocirurgia são raras, mas podem ocorrer.
Como consequência da radiocirurgia o paciente pode apresentar amortecimento do rosto (alteração do nervo trigêmio), paralisia facial, hidrocefalia (necessitando a colocação de uma válvula) e em casos muito raros desenvolver um tumor maligno no cérebro ou tornar o tumor benigno em maligno. Uma outra desvantagem da radiocirurgia é que o paciente deve realizar exames de ressonância magnética de controle pelo resto da sua vida uma vez que este tratamento não cura nenhum paciente. Indicamos esta opção de tratamento apenas para pacientes muito bem selecionados que não apresentem condições cirúrgicas. Principalmente para pacientes idosos (acima de 65 anos de idade) com tumores que estejam crescendo.
3. Microcirurgia – A remoção microcirúrgica de um Neurinoma do Acústico (Schwannoma Vestibular) é a única forma de cura para esses tumores. No entanto, devido a localização e o envolvimento de estruturas muito importantes, estas cirurgias só devem ser realizadas em centros com grande experiência e que disponham de tecnologia avançada.
Três são os acessos cirúrgicos mais utilizados: atrás da orelha (retrosigmoide), através do ouvido (translabiríntico) e acima da orelha (fossa média). O acesso retrosigmoide é o preferido em nosso serviço por ter inúmeras vantagens em relação aos outros. É mais simples, mais rápido, pode ser usado para tumores de todos os tamanhos, pode preservar a audição e permite um melhor controle das estruturas envolvidas.
O acesso translabiríntico além de ser mais trabalhoso tem uma série de desvantagens. O acesso pela fossa média é indicado apenas em tumores pequenos e que ainda não tenham causado a perda da audição. Essencial para a realização destas cirurgias é a monitoração intraoperatória dos nervos cranianos envolvidos e do tronco cerebral. Esta monitoração deve ser realizada por profissional experiente e que faça parte do time cirúrgico.
Em nosso serviço essas cirurgias tem uma duração média de 2 ½ hs a 4 ½ horas dependendo do tamanho do tumor. O paciente permanece na UTI para controle durante a noite e no dia seguinte é liberado para o quarto. Dois a três dias após recebe alta hospitalar. Os pontos de pele são retirados no oitavo ou nono dia e a maioria dos pacientes retorna às suas atividades habituais 7 a 10 dias após.
Os riscos cirúrgicos são relacionados a possibilidade de infecção (muito rara), sangramento (extremamente raro) e outros riscos relacionados a cirurgias de grande porte em anestesia geral (extremamente raros). A preservação do nervo facial e da audição irá depender de vários fatores, principalmente do tamanho do tumor.
Nossos pacientes são acompanhados com um exame de ressonância magnética logo após a cirurgia e um controle anual durante 5 anos. Após este período, com exames de ressonância magnética satisfatório os pacientes são considerados curados e recebem alta definitiva.
Abaixo uma tabela mostra a experiência do nosso serviço entre 1993 e 2022 com os resultados dos pacientes submetidos a microcirurgia:
Figuras do acesso retrosigmoide
 comprimindo o tronco.png)
Pequeno tumor (T1) dentro do canal auditivo interno (foto cirúrgica) | Tumor maior (T4A) comprimindo o troncocerebral (desenho)
Tabela com os resultados cirúrgicos entre 1993 e 2022
|
Tamanho |
Número de casos |
Remoção total |
Preservação nervo facial |
Preservação da audição |
Complicações |
Mortalidade |
|
Pequenos (T1-T2) |
191 |
100% |
100% |
50% |
1,0% |
ZERO |
|
Grandes (T3-T4A &B) |
503 |
99% |
92% |
18% |
2,3% |
0,7% |
|
Total |
694 |
99% |
94% |
30% |
1,8% |
0,7% |
Casos Clínicos
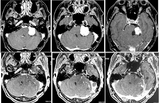
Caso 1
Paciente jovem (42 anos de idade) com tumor T4A comprimindo o tronco cerebral.
Acima ressonância magnética antes da cirurgia e abaixo após a remoção total.

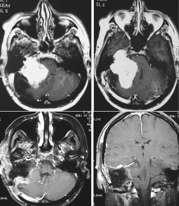
Caso 2
Paciente com 47 anos de idade submetida a duas cirurgias em outro serviço.
Acima ressonância magnética antes da cirurgia mostrando um tumor gigante comprimindo o tronco do cérebro e o cerebelo. Abaixo após a remoção total do tumor.
Entre em contato conosco para maiores informações e agendamentos!
(41) 3028-8545 | (41) 3241-1200